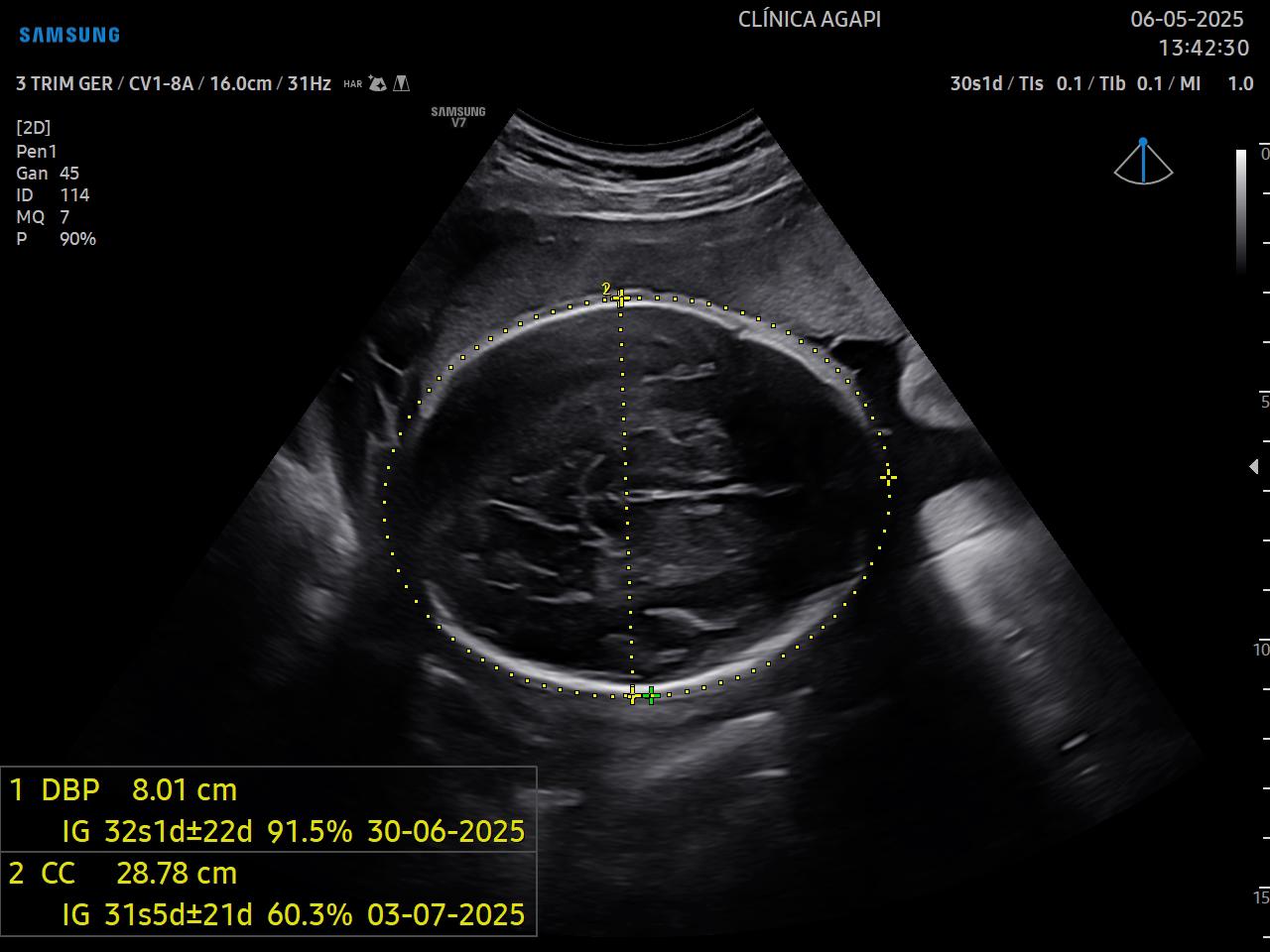
Exame realizado geralmente no 3º trimestre, avalia o crescimento e bem-estar fetal.

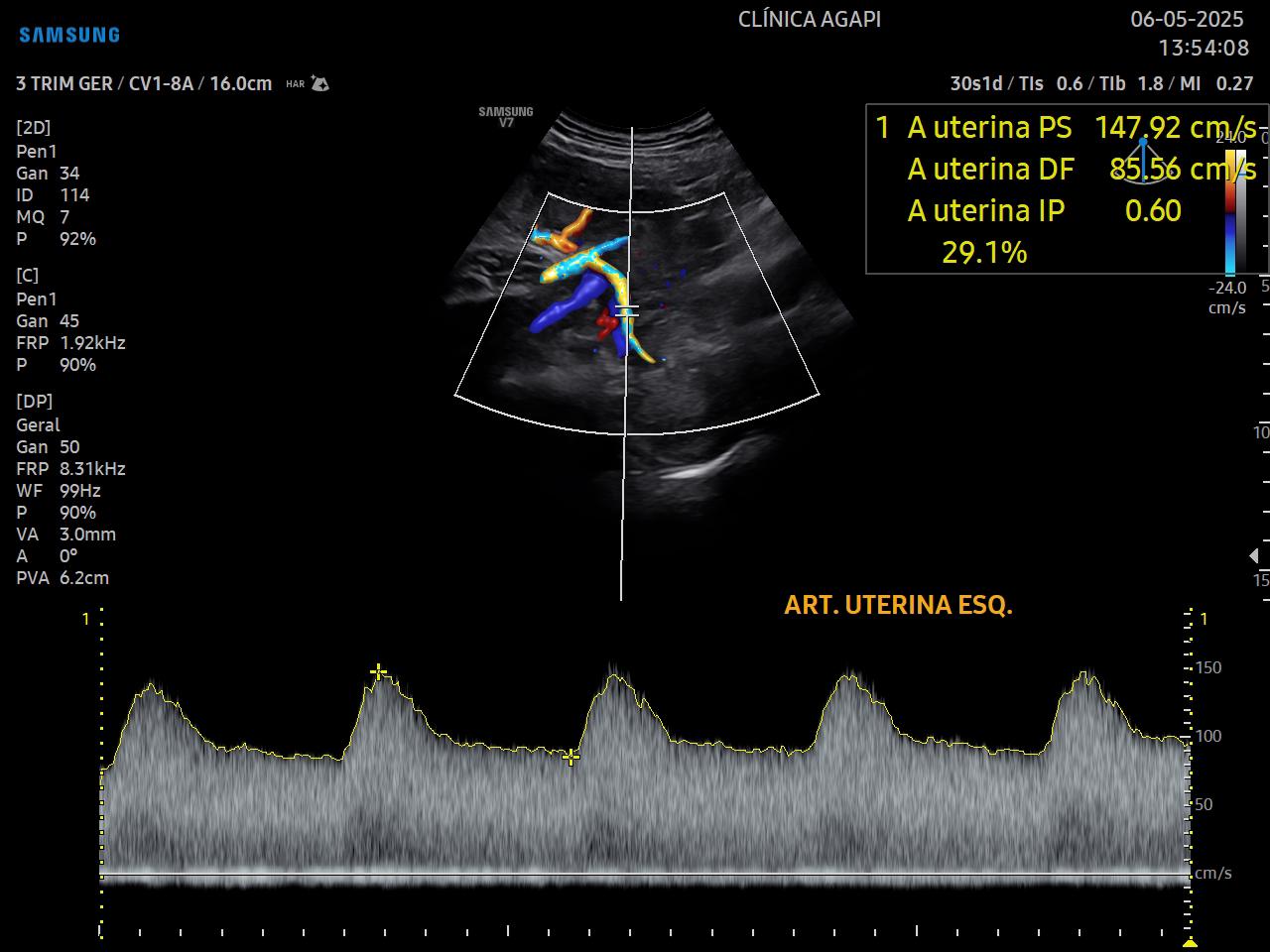
O doppler materno inclui a avaliação das artérias uterinas e o doppler fetal: artéria umbilical, artéria cerebral média, relação cérebro-placentária e quando necessário, ducto venoso.

A função do doppler é avaliar a vitalidade fetal e a função placentária.