Deve ser realizado entre 11 semanas e 3 dias e 13 semanas e 6 dias, preferencialmente na 12ª semana, pelas vias abdominal e transvaginal.

Seu principal objetivo é avaliar o risco de aneuploidias (doenças genéticas no bebê), avaliar risco da mãe desenvolver pré eclâmpsia, e também avaliar minuciosamente a anatomia do bebê. É possível detectar cerca de 50% das malformações congênitas pela avaliação inicial da anatomia do feto.

O rastreio de aneuploidias é feito através da avaliação de marcadores ultrassonográficos específicos como: transluscência nucal, osso nasal, ducto venoso e regurgitação tricúspide.

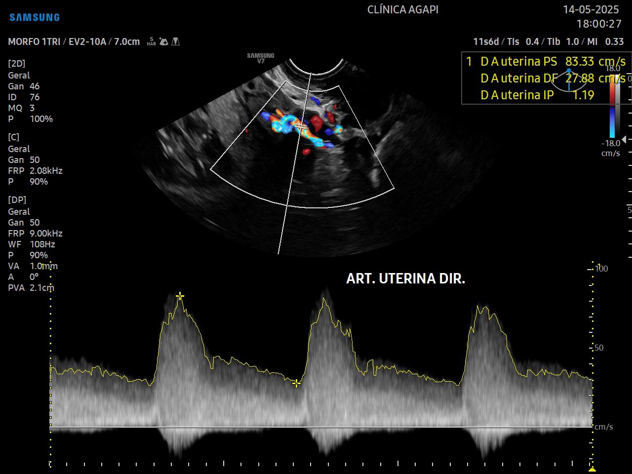
A rastreio de pré eclâmpsia é feito a partir da junção da história materna, pressão arterial média e doppler das artérias uterinas.

Na AGAPI realizamos o exame completo, incluindo os cálculos de risco de alterações cromossômicas e de pré-eclâmpsia, conforme algoritmo da Fetal Medicine Fundation (https://fetalmedicine.org).